의료진 소개
오시는 길
온라인 상담
SNS LOGIN
JOIN
ADMIN
Yes! 치과소개
진료철학
의료진소개
의료장비/멸균
병원둘러보기
진료시간/오시는길
Yes! 자연치아살리기
치근단절제술
치아 재식술
신경치료
재신경치료
자가치아이식
Yes! 임플란트
전체임플란트
어금니 임플란트
앞니 임플란트
뼈이식 임플란트
임플란트 재수술
임플란트 틀니
당뇨 임플란트
보험 임플란트
Yes! 일반진료
보철치료
충치치료
잇몸치료
사랑니발치
턱관절치료
고객센터
온라인상담
네이버예약
커뮤니티
진료전후사진
치과갤러리
자필후기
공지사항
전체메뉴
Yes! 치과소개
·
진료철학
·
의료진소개
·
의료장비/멸균
·
병원둘러보기
·
진료시간/오시는길
Yes! 자연치아살리기
·
치근단절제술
·
치아 재식술
·
신경치료
·
재신경치료
·
자가치아이식
Yes! 임플란트
·
전체임플란트
·
어금니 임플란트
·
앞니 임플란트
·
뼈이식 임플란트
·
임플란트 재수술
·
임플란트 틀니
·
당뇨 임플란트
·
보험 임플란트
Yes! 일반진료
·
보철치료
·
충치치료
·
잇몸치료
·
사랑니발치
·
턱관절치료
고객센터
·
온라인상담
·
네이버예약
커뮤니티
·
진료전후사진
·
치과갤러리
·
자필후기
·
공지사항
진료시간
오시는 길
네이버 예약
온라인 상담
개인정보활용에 동의합니다.
공지사항
교정치료전후사진
치과갤러리
홈
커뮤니티
교정치료전후사진 카테고리
전체
열린 분류
덧니
돌출입
치아사이공간
무턱
주걱턱
좌우비대칭
개방교합
과개교합
비수술 반대교합
과도한잇몸노출
매복치맹출지연
보철을위한교정
재교정
얼굴뼈성장교정
Total 15건
1 페이지
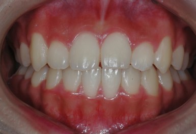
15.
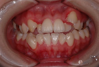
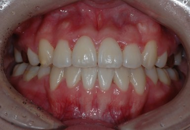
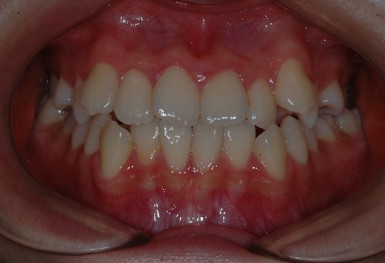
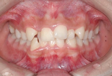
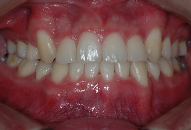
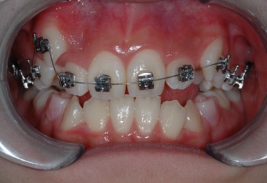
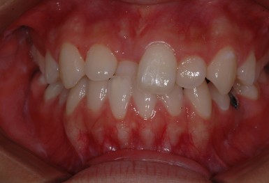
주걱턱성향의 심한 덧니
주걱턱성향의 심한 덧니
최고관리자
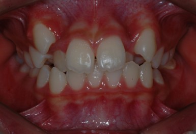
14.
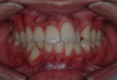
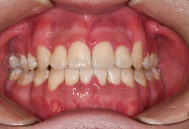
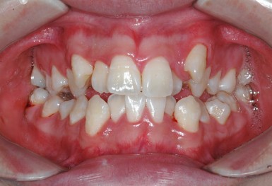
심한 덧니와 좁은 악궁
심한 덧니와 좁은 악궁
최고관리자
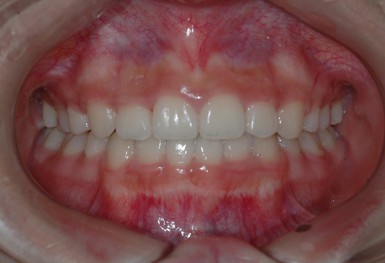
13.
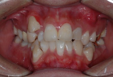
#45결손을 동반한 심한 덧니.
#45결손을 동반한 심한 덧니.
최고관리자
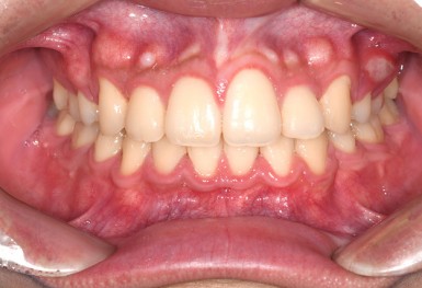
12.
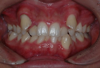
하악골 크기과다를 가진 배열불규칙 환자
하악골 크기과다를 가진 배열불규칙 환자
최고관리자
11.
아주 심한 덧니의 비발치 치료
아주 심한 덧니의 비발치 치료
최고관리자
10.
소구치 결손을 가진 덧니의 치료
소구치 결손을 가진 덧니의 치료
최고관리자
9.
심한 덧니
심한 덧니
최고관리자
8.
심한 덧니와 전치부 개방교합
심한 덧니와 전치부 개방교합
최고관리자
7.
심한 덧니의 교정치료
심한 덧니의 교정치료
최고관리자
6.
심한 덧니의 치료
심한 덧니의 치료
최고관리자
목록
열린
1
페이지
2
페이지
맨끝
게시물 검색
검색대상
제목
내용
제목+내용
회원아이디
회원아이디(코)
글쓴이
글쓴이(코)
검색어
필수